ご予約・お問い合わせはこちら
075-662-1600
menu
〒601-8037 京都府京都市南区東九条西河辺町5-1
診療時間
月
火
水
木
金
土
日
9:00 - 18:00
●
●
●
–
●
▲
–
【診療時間】 9:00~18:00 ▲…8:30〜17:30
【休診日】日曜・木曜・祝日
ホーム
保護者のみなさまへ
乳歯列期から矯正するメリット
年齢別にみる矯正治療
3~6歳の治療法
6~11歳の治療法
12歳前後からの治療法
治療費
まずはご相談 治療の流れ
院長・マス歯科のご紹介
症例集
矯正治療で起こりうるリスク
24
時間対応
WEB
予約
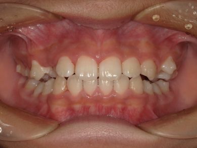
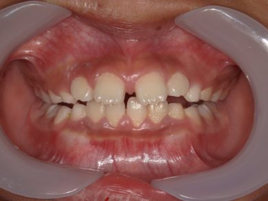
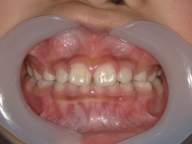
症例集
Case Studies
ホーム
保護者の
みなさまへ
乳歯列期から
矯正するメリット
年齢別にみる矯正治療
3~6歳の治療法
6~11歳の治療法
12歳前後からの治療法
治療費
まずはご相談
治療の流れ
院長・
マス歯科のご紹介
症例集
烏丸十条マス歯科・矯正歯科 こともの矯正サイト
ホーム
症例集
ただいま準備中です
お問い合わせ
Contact
ご予約・お問い合わせはこちら
タップで電話がかかります
075-662-1600
24
時間対応
WEB
予約
タップで電話する
24
時間対応
WEB
予約