〒601-8037 京都府京都市南区東九条西河辺町5-1

診療時間
9:00 - 18:00

【診療時間】 9:00~18:00 ▲…8:30〜17:30
【休診日】日曜・木曜・祝日

9までの治療が
その後の口腔内リスクを左右します

  • お口ぽかん
  • 猫背
  • 指しゃぶり

歯並び原因
かもしれません
Teeth may be the cause

インビザラインプラチナエリート
プロバイダー認定のドクターが
お子様の矯正治療を担当します

インビザライン年間250症例以上※2024年実績

「このままで大丈夫かな」と感じたら、チェックしてみましょう 簡単チェックリストでセルフチェック!

  • 歯がぎゅうぎゅうに並んでいて
    窮屈そう
  • 前歯が大きく前に出ている いわゆる
    「出っ歯」
  • 姿勢が悪く、いつも猫背ぎみ
  • 口がいつもポカンと開いている
  • 食事に時間がかかる
  • やわらかい食べ物を好む
  • 頬杖をつくクセがある
  • 鼻づまりしやすい アレルギー
    体質がある

いくつ当てはまりましたか?

これらは、歯並びだけの問題とは限りません。あごの成長や呼吸、姿勢などと関係していることもあります。成長とともに自然に整う場合もある一方で、状態によっては将来の歯並びや噛み合わせに影響することがあります。
「このまま様子を見ていいのかな?」と感じたときこそ、成長段階をふまえて考えることが大切です。

保護者の方へ 矯正を始めるなら 早い方がいい? それとも 成長を待つべき?

矯正を始めるなら、
早い方がいい?

「歯並びが気になるけれど、様子を見た方がいいのかな…」「今から始めるべきなのかな…」と迷われていませんか。
実は、小児矯正は「いつ始めるか」が大切なポイントとなります。

  • Point 「9歳まで」がひとつの目安

    5〜9歳頃は、あごの成長を活かしやすい大切な時期です。
    このタイミングで始めることで、歯並びだけでなく、噛み合わせや呼吸、姿勢などにも配慮した治療が行えます。永久歯のスペースを確保しやすく、将来の治療負担を抑えられる可能性もあります。

  • Point 成長期を過ぎると…

    10歳を過ぎると、あごの成長が徐々に落ち着いてきます。そのため、状態によっては抜歯が必要となるケースが増えることもあります。また、使用できる装置が限られ、治療期間や負担が大きくなる場合があります。

  • Point お子さま一人ひとりに
    合わせたご提案

    お子さまの発育状況や生活習慣をふまえ、矯正治療のタイミングや方法をご提案しています。無理に矯正をおすすめすることはありません。まずは現状を知ることから、一緒に考えていきます。「気になるけど、まだ早いかも…」と感じている今こそ、一度ご相談ください。

ぜひ、はじめに
こちらをお読みください
ぜひ、はじめに
こちらをお読みください

マス歯科の 押し売りゼロ

当院はご契約を目的とした営業は行わず、正しい情報を提供しご納得いただいたうえで治療を始めることを大切にしています。「治療を受けたい」と前向きにお考えの方にはその場でご予約を承りますが、こちらから無理におすすめすることはございません。

私たちにとって何よりの喜びは、患者様に「当院を選んでよかった」と思っていただけることです。信頼関係を築きながら、お一人おひとりのお気持ちを尊重して治療に臨んでいます。

当院 選ばれる 8 つのポイント Strong Points of
Our Clinic

歯並びの改善だけでなく、姿勢や呼吸、骨格のバランスまで考慮した矯正治療を行っています。
お子さまの将来を見据え、成長を活かした適切なタイミングでのアプローチを大切にしています。

  • 01

    小児矯正から小児歯科・
    予防まで
    対応する総合歯科医院

    矯正治療に加えて、むし歯予防や乳歯の管理もあわせて受けられる体制が整っています。
    お子さまの成長にあわせて、お口の状態を継続的に確認し、歯並びだけでなく、衛生管理や生活習慣にも配慮したサポートを行います。

  • 02

    あごの成長を見据えて
    悪い癖を治す
    “本質的”な矯正治療

    発育期の子どもには、歯並びだけでなく、あごの成長やバランスを考えた治療が重要です。
    成長の方向性に合わせて調整を行い、口呼吸や舌の使い方などの癖にも配慮しながら、自然な噛み合わせを目指します。

  • 03

    できる限り歯を抜かない方針

    永久歯をできるだけ残すため、非抜歯での矯正を優先的に検討しています。成長期には、あごの発育を活かして歯が並ぶスペースを確保できることがあります。
    ただし、状態によっては抜歯が必要となる場合もあり、診断結果をもとに判断します。

  • 04

    豊富な実績・幅広い症例に対応

    マウスピース型矯正装置の提供企業から、一定の治療経験を持つ歯科医師として認定を受けています。
    多様な症例に対応してきた経験をもとに、検査結果に基づいた治療計画を立案します。

  • 05

    院長がすべての矯正治療を担当

    診断から治療後の調整まで、同じ歯科医師が一貫して対応します。
    担当が変わらないことで、治療方針のブレを防ぎ、長期的な管理もしやすくなります。

  • 06

    楽しく通える歯科医院

    小さなお子さまでも不安を感じにくいよう、院内の雰囲気や対応に配慮しています。明るく落ち着いた診療環境のもと、歯科治療が苦手なお子さまも段階的に慣れていけるよう対応しています。

    無理なく通院を続けられるよう、前向きに取り組める工夫を取り入れています。

  • 07

    丁寧なカウンセリングと
    精密検査

    矯正治療では、正確な診断と分かりやすい説明を大切にしています。初めての方にも安心いただけるよう、十分な時間をかけてカウンセリングと精密検査を実施します。

    歯並びやかみ合わせに加え、あごの成長や生活習慣も確認し、必要に応じて3Dスキャンを行います。

  • 08

    十条駅から徒歩4分
    土曜も診療

    最寄駅から徒歩圏内にあり、通院しやすい立地です。平日が難しい場合でも、土曜日の診療を利用して無理なく通えます。

    学校や習い事と両立しやすく、矯正治療を継続しやすい環境が整っています。

小児矯正で使う 矯正装置その特徴 Kids’ Orthodontic Devices and Features

  • インビザラインファースト

    透明なマウスピース型矯正装置で、乳歯と永久歯が混在する時期に特化した治療法です。成長段階に合わせて歯を段階的に動かせるため、無理のない小児矯正が可能です。見た目が目立ちにくく、取り外しができるため、清掃性に優れている点も特徴です。

  • インビザライン

    透明なマウスピース型矯正装置を使用し、永久歯が生えそろった時期に適した治療法です。取り外しができるため口腔内を清潔に保ちやすく、日常生活への負担を抑えながら、段階的に歯列を整えていきます。

  • プレオルソ

    乳歯期から混合歯列期の子ども向けに設計された、取り外し可能な矯正装置です。あごや歯の成長をサポートし、歯並びや噛み合わせの改善を目指します。装着時間を守ることで効果が期待でき、口呼吸の改善や舌のトレーニングなど、機能面の向上にもつながります。

  • 口蓋拡大システム

    あごの幅を広げて歯が並ぶスペースを確保する装置で、成長期のあごの発達を活かしながら歯列のバランスを整えます。取り外し可能なタイプと固定式があり、歯の生え方や成長段階に応じて装着方法を選びます。装置を段階的に調整することで、噛み合わせの改善や歯が重ならずに並ぶスペースの確保を目指します。

  • リテーナー(保定装置)

    矯正治療で整えた歯並びを安定させるために使用する装置です。歯が元の位置に戻るのを防ぎ、長期的に整った歯列を維持します。取り外し可能なタイプが中心で、種類や装着期間は治療内容や個人差によって異なります。治療後は歯科医師の指示に従って装着します。

「歯医者さん=こわいところ」ではなく、「また行きたくなる場所」へ。烏丸十条マス歯科・矯正歯科では、小さなお子さまが楽しみながら通えるよう、マスキッズクラブを運営しています。

マスキッズクラブ特長 Features of MAS Kids Club

  • スタンプカードでワクワク♪

    通院ごとにスタンプがたまって、ポイントが集まると「ガチャガチャ」が回せるごほうびつき!定期検診が楽しみになります。

  • “歯医者さんデビュー”を応援

    初めての歯医者さんでも安心。器具を見たり触れたりしながら少しずつ練習する「デビューサポートプログラム」で、不安をやわらげます。

  • キッズイベントを開催

    季節に合わせた楽しいイベントで、歯科医院をもっと身近に感じてもらえる工夫をしています。

  • お口の健康をしっかり記録

    専用の治療記録シートで、お子さまの大切な歯の状態をきちんと管理します。

  • 3か月に1回のフッ素塗布で
    むし歯予防

    定期的な予防ケアで、丈夫な歯を育てましょう。

  • 小学生以下のお子さま対象の
    治療費助成

    むし歯治療費の一部が助成される制度をご案内しています。

  • 京都市の無料フッ素塗布券も
    ご利用可能

    対象の方には、市のフッ素券を使ってケアを受けていただけます。

お子さまの“歯の健康”と“心の成長”を
サポートするマスキッズクラブ。
「はじめての歯医者さん」が
笑顔になるよう、スタッフ
みんなでお手伝いします!

平日はお仕事や家事でお忙しい保護者の方も多くいらっしゃるかと思います。
8歳頃からのお子さまであれば、お子様お一人での通院も承っております(※お子さまの状況により異なります)。地下鉄十条駅から徒歩4分という好立地で安全性もあり、学校や習い事の帰りにも立ち寄っていただきやすいです。

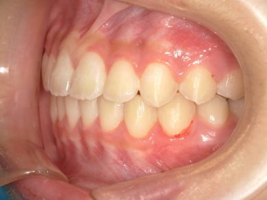
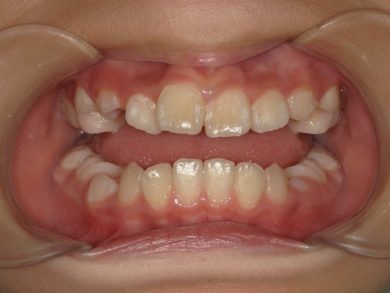
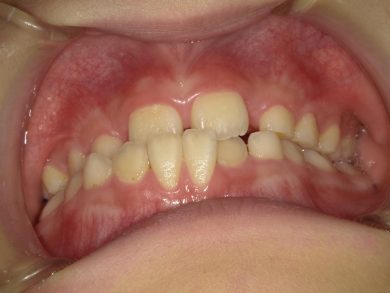
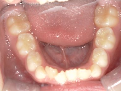
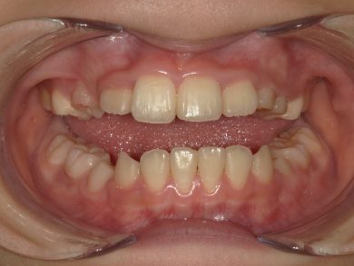
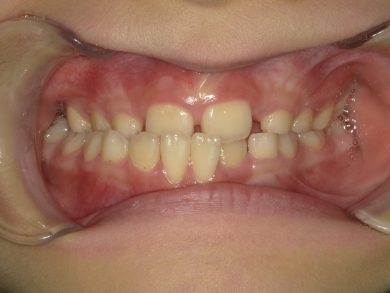
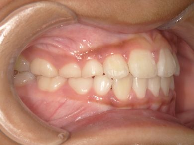
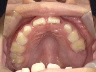
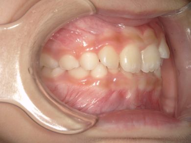
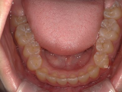
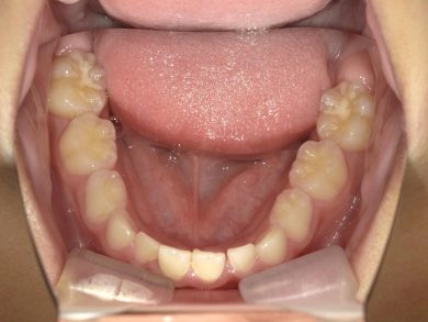
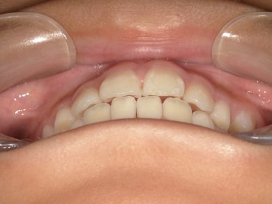
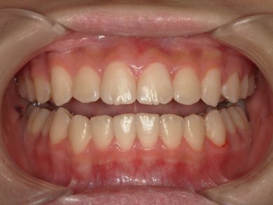
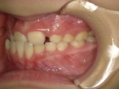
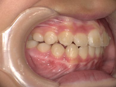
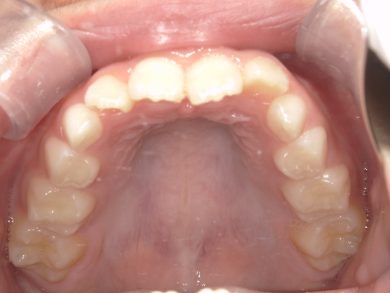
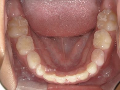
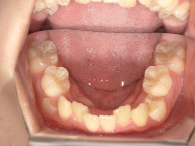
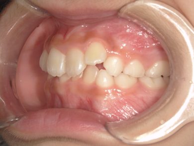
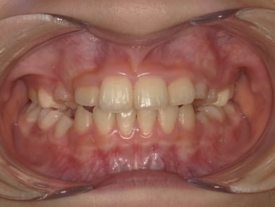
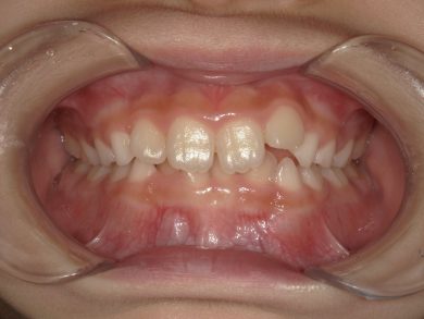
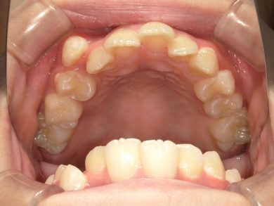
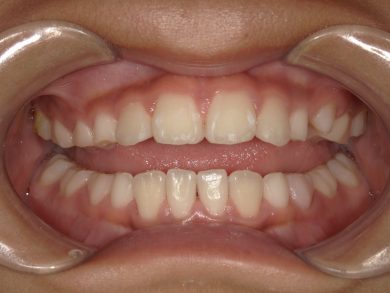
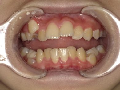
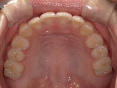
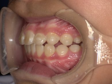
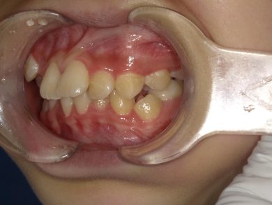
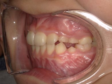
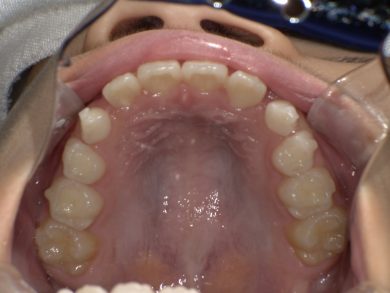
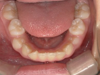
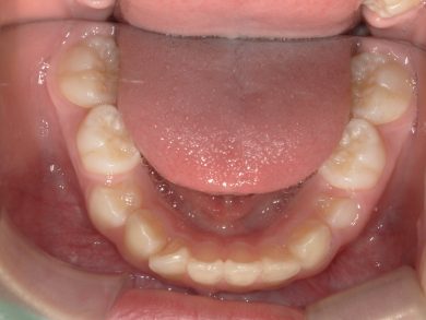
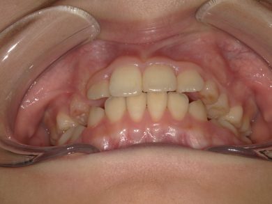
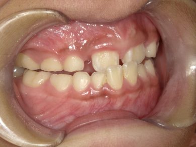
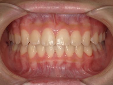
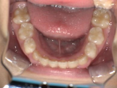
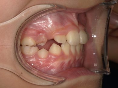
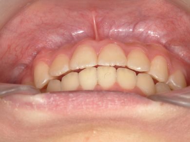
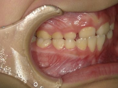
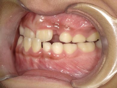
症例紹介

CASE インビザラインファースト

叢生
受け口
過蓋咬合

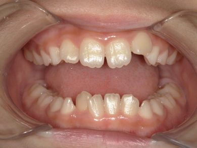
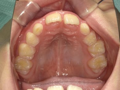
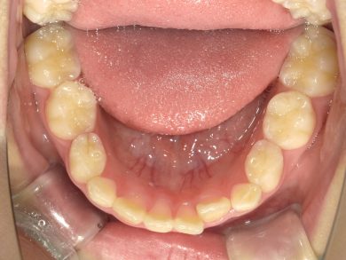
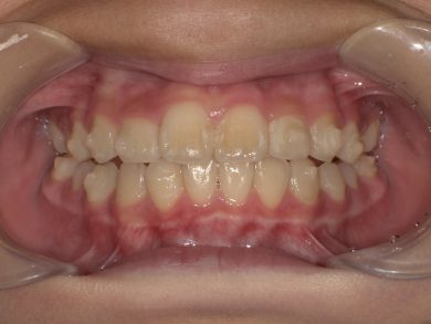
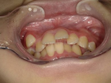
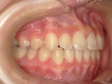
CASE プレオルソ

空隙歯列/過蓋咬合
叢生/出っ歯

症例をもっと見る 症例をもっと見る

矯正相談実施中

「今の歯並びや噛み合わせがどのように変化していくのか」「どのような歯並びを目指したいか」などを、レントゲンや口腔内写真を確認しながら丁寧にカウンセリングいたします。カウンセリングの内容にご納得いただけない場合は、無理に治療を進めていただく必要はありません。
強引な勧誘や契約は一切行っておりませんので、どうぞ安心して無料相談にお越しください。

実施
日時
【平日】1730分~18【土曜日】17時~1730【平 日】1730分~18
【土曜日】17時~1730

このような歯並び 矯正治療 オススメします When to Consider Orthodontics

歯並びやかみ合わせの乱れは、見た目だけの問題ではありません。お口まわりの機能や体のバランスにも影響を及ぼすことがあるため、早めの対策が大切です。お子さまに、次のような気になる症状はありませんか?

治療プラン Treatment Plan

治療料金
(資料採得費含む)
資料採得治療方法治療期間成人矯正
への
移行
ライトプラン Light220,000(税込)55,000(税込)プレオルソ1.5補償無し
スタンダードプラン Standard495,000(税込)55,000(税込)インビザラインファースト1.5半額補償
治療費の半額(20万円を差し引いた金額)で成人矯正の松コースor竹コースへ移行可能
プレミアムプラン Premium550,000(税込)55,000(税込)インビザラインファーストプレオルソ1.5半額補償
治療費の半額(20万円を差し引いた金額)で成人矯正の松コースor竹コースへ移行可能

院長
メッセージ
Message

未来の笑顔を、今ここから。

烏丸十条マス歯科・矯正歯科では、お子さまの成長に合わせた矯正治療を通じて、将来の健康な歯並びと健やかな発育をサポートしています。歯並びやかみ合わせは、見た目だけでなく、呼吸・姿勢・咀嚼(そしゃく)など、全身の発達にも関わる重要な要素です。だからこそ私たちは、「なぜ今この治療が必要なのか」「どうすれば自然な成長の力を活かせるのか」という視点を常に大切にしています。

矯正治療には適切なタイミングがあります。乳歯と永久歯が混在する“混合歯列期”に始めることで、将来的な抜歯や本格的な治療の負担を減らせる可能性が高まります。また、口呼吸や舌のクセといった生活習慣への対応も、早い段階からアプローチすることができます。


保護者の方にとって矯正は不安や迷いの多い選択かもしれません。当院では初診相談から治療後のフォローアップまで、患者さまの気持ちに寄り添いながら丁寧にサポートしています。治療を押しつけることはなく、必要性や方針をご理科いただいたうえで進めてまいりますので、安心してご相談ください。

私たちが目指すのは、治療のその先にある「自信に満ちた笑顔」と「健康な未来」です。これからも地域の皆さまに信頼される“子どもと家族のための矯正歯科”として、心を込めて診療にあたってまいります。

院長 桝 和成

マス歯科のご紹介 マス歯科のご紹介

タップで電話する 24時間対応 WEB予約